TEIL 4: ATHLETISCHE TRIADE ALS DRASTISCHSTE MEDIZINISCHE FOLGE EINER KÖRPERSCHEMASTÖRUNG

📸 Nino Liverani

📸 Nino Liverani

 

Geschrieben von Dr. Sophie Wallner

Die athletische Triade ist ein Komplex aus verminderter Energiezufuhr (ohne/mit Essstörung), Oligo-Amenorrhoe (verminderte bis ausbleibende Regelblutung) und Osteoporose (Knochendichtestörung). Sie ist eine der drastischen medizinischen Folgen, die das Nacheifern nach einem Idealbild im Sport bewirkt. Das gezeigte Bild verdeutlicht den Einfluss der jeweiligen Faktoren aufeinander und lässt einfach nachvollziehen, dass bereits die Störung einer Stellschraube Auswirkungen auf den gesamten Komplex hat.

Bildschirmfoto 2020-06-25 um 13.16.29.png

Beim Thema Regelblutung kommt es im Spitzensport häufig durch das exzessive Training zu selteneren Monatsblutungen mit verlängerter Zyklusdauer (Oligomenorrhoe) oder gar zum totalen Verlust der Regelblutung (Amenorrhoe). Selbst nach Beendigung der Sportlaufbahn kann es Jahre dauern, bis sich der Menstruationszyklus wieder normalisiert. Manche Disziplinen halten Sportlerinnen körperlich im vorpubertären Stadium. Doch auch, wenn es immer mehr von Leistungssportlerinnen in öffentlichen Interviews suggeriert wird, dass es normal sei und ab und zu vorkomme, dass Menstruationsprobleme auftreten, ist es weder im Leistungssport noch im Hobbysport normal.

Das Ausbleiben der Regelblutung ist ein Symptom des Körpers auf eine akute/chronische Belastungssituation. Es ist ein ernstzunehmendes Zeichen, dass es ihm an Etwas fehlt. Für manche Betroffene mag der Zustand, der ausbleibenden Regelblutung als weniger störend empfunden werden und eher eine angenehme Nebenwirkung sein. Denn manchmal empfinden wir es doch alle nur als lästig, da sind wir Frauen uns sicher einig. Zudem ist die Periode obendrein oft mit hormonabhängigen Leistungseinbussen verbunden. Nur wenige wissen jedoch, dass eine langfristige Amenorrhoe schwerwiegende Folgen auf die Fertilität der Frauen haben kann.

Dreh- und Angelpunkt der Schädigungen ist hier der Hypothalamus, unsere Hormonregulierungsstruktur im Gehirn, von wo aus ein Großteil der hormonellen Abläufe gesteuert und in Balance gehalten wird. Dort führt das ausgeprägte Energiedefizit zu hormonellen Entgleisungen. Die daraus resultierenden neuroendokrinen Störungen sind chronisch erhöhte Cortisolspiegel, ausgelöst durch die Stresssimulation im Körper. Hinzukommt eine verringerte Freisetzung von Schilddrüsenhormonen, mit den Folgen einer Unterfunktion (trockene, raue Haut, Haarausfall, Bradykardie, Obstipationsneigung). Zudem führt der Eingriff in das sensible System zur Unterfunktion unserer Sexualhormone und folglich zu einem Östrogenmangel. Dieser resultiert in einer ovariellen Unterfunktion und führt schließlich zur Amenorrhoe. Dieses Krankheitsbild wird im Englischen auch „Exercise-related female reproductive dysfunction" (ERFRD) genannt. Die ERFRD kann bei Rückkehr zum balancierten Aktivitäts-/ Energielevelhaushalt kurzfristig und reversibel sein, bei jahrelanger Störung kann dies aber zu gravierenden Problemen mit erschwerter bis kompletter Infertilität führen.


So ist dieses Thema nicht nur sportmedizinisch, sondern auch aus gynäkologisch-reproduktionsbiologischer Sicht von großem Interesse. In den Forschungsschwerpunkten stellt sich meist die Frage, welche möglichen Folgen sportliches Training und damit verbundene Restriktionen, wie Mangelernährung, auf uns Frauen haben.

Ein erniedrigtes Körpergewicht geht deutlich überproportional mit Zykluspathologien, wie späterer/verspäteter Pubertät und Oligo-/ Amenorrhöen einher. Sämtlichen Zyklusstörungen ist der längerfristige Östrogenmangel gemeinsam, der neben dem Ausbleiben der Regelblutung, auch mit einer Minderung der Knochenmasse (Belastungs- und Ermüdungsfrakturen) verbunden ist. Auch sind gegebenenfalls emotionale Zeichen, wie depressive Verarbeitungsstörungen, Schlafstörungen, Antriebsarmut und Leistungsverlust nachweisbar. Oft ist der ärztliche Rat: jede Patientin* (Sportlerin*) mit einer längerfristigen Amenorrhö (von mehr als sechs Monaten), wegen der Gefahr der Entwicklung einer zum Teil erheblichen Osteopenie bzw. Osteoporose, zu einer Substitution von Hormonen geraten werden. Zahlreiche Leistungssportlerinnen* äußern jedoch zum Teil erhebliche Bedenken. Denn die Einnahme von Östrogensubstitution kann Gewichtszunahme, Leistungsverlust, Veränderungen der Statur (hinzu Verweiblichung) und den Wiederbeginn der Menstruation bewirken und daher lehnen viele von ihnen die Einnahme ab. Doch gilt es nicht außer Acht zu lassen, dass hier ein ganzheitlich und interdisziplinär Ansatz (FIERCE HEALTH FORCE) der erste Schritt sein sollte, was wir uns mit FIERCE RUN FORCE zur Aufgabe gemacht haben. Kontaktiere uns bei Bedarf sehr gerne: steffi@fiercerunforce.de

Neben den Auswirkungen auf die Fruchtbarkeit (Fertilität), können durch Ernährungsfehler verursachte Störungen der Ovarialfunktion einen Östrogenmangel auslösen. Dieser kann zur Entkalkungen des Skelettsystems führen. Kommt es zu einer deutlichen Verminderung der Knochenmasse und zu einer Verschlechterung der Knochenmikroarchitektur, spricht man von Osteoporose. Die wesentlichen Krankheitsfolgen der Osteoporose im fortgeschrittenen Stadium sind Knochenbrüche (vor allem des Oberschenkelhalses, des Unterschenkels, des Steißbeins und der Wirbelkörper). Bei der verminderten Knochenfestigkeit und hinzukommender mechanischer Belastung durch Sport besteht folglich eine deutlich erhöhte Gefährdung für Stressfrakturen.

Östrogenmangel zählt somit neben dem Nährstoffmangel (Vitamin D3 und Kalzium), zu den biologischen Faktoren, die eine Begünstigung von Ermüdungsbrüchen auslösen. Denn der Nährstoffmangel hat eine Knochendemineralisation zur Folge und führt dadurch zu einer bedingten Osteopenie/Osteoporose.

Osteoporose ist eigentlich bekannt als typische Erkrankung bei postmenopausalen Frauen, ausgelöst durch den, mit Ende der Ovarialfunktion einhergehenden, Östrogenmangel. Doch wie bereits oben beschrieben, führen die Folgen von gesteigertem Ausdauertraining und verbundenem Energiedefizit ebenso zum Östrogenmangel. Dieser Mangel kann somit eben auch bei der jungen, sportlichen, schlanken Frau zu schwacher Knochenstruktur und dem erhöhten Risiko für Frakturen führen.

Doch auch weitere Hormone (z. B. Cortisol), die im Zuge der athletischen Triade ins Ungleichgewicht geraten, beeinflussen die Bildung und den Erhalt des Skelettknochens. So führen ihre abnormalen Werte oft zu einem Ungleichgewicht im komplexen System des Knochenaufbau/-abbaus und /-umbaus und enden meist in einer Abnahme der Knochendichte.

Während Ermüdungsfrakturen durch repetetiven Stress, also biomechanische Ursachen, eher kleine, nicht hauptlasttragende Knochen, wie im Mittelfuß oder das Wadenbein betreffen, kommt es im osteoporotisch geschädigten Knochen auch zu Brüchen der größeren Skelettknochen (siehe oben). Abhängig ist die Lokalisation der Fraktur aber auch von der individuellen Gewichtsverteilung auf die einzelnen Strukturen. Hinzukommen individuelle biomechanische Abläufe beim Laufen.

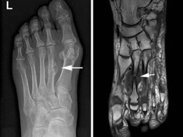
📸 © springer medizin

Im Prinzip ist eine Stress-/Ermüdungs-/Marschfraktur eine Reaktion des Knochens auf repetitive Belastung (Marschieren, Ausdauerlauf, etc). Die Dauerbelastung führt zur „Ermüdung“ der Knochenstruktur als Stressreaktion. Der Bruch ist letztlich der völlige Einbruch des Knochengerüsts. Ein Ermüdungsbruch äußert sich meist erstmalig durch belastungsabhängige Schmerzen im betroffenen Knochen, der sich mit der Zeit auch zum Ruheschmerz entwickeln kann. Aufgrund der oft schleichenden Symptomatik wird manchmal noch für einen gewissen Zeitraum weitertrainiert. Meist wird auch eher ein muskuläres Problem vermutet und der gebrochene Knochen daher noch längere Zeit belastet, bis man sich dem Arzt vorstellt.

Epidemiologisch zeigt sich, dass Ermüdungsbrüche ein durchaus großes Problem im Leistungs- und Breitensport darstellt. Mehr als ein Drittel der professionellen Langstreckenläufer*innen machen Erfahrungen mit einer Knochenstressreaktion, wie z.B. einem Ermüdungsbruch. Die 1-Jahres Prävalenz (Kennzahl für die Krankheitshäufigkeit) der Leichtathlet*nnen, die eine Ermüdungsfraktur erleiden liegt bei 21%. Zudem kann auch ein zu rascher Wiedereinstieg nach einer Ermüdungsfraktur sowie gleichzeitig ein repetitiver Bewegungsablauf zu einer wiederkehrenden Stressfraktur führen.

Sowohl biologische Ursachen, wie Unterversorgung des Körpers mit Nährstoffen (= Stoffwechselumstellung und Hormonmangel) sowie biomechanische Ursachen spielen eine Rolle bei der Entstehung von Ermüdungsbrüchen.

Zu den biomechanischen Faktoren zählen zum Beispiel anatomische Ursachen, wie Beinlängendifferenz, Fußfehlstellungen (Hohlfuß und Plattfuß), geringer Wadenumfang und muskuläre Dysbalancen. Außerdem zählt eine unzureichend adaptierte Körperkonstitution der SportlerIn für das angestrebte Aktivitätslevel zu den Faktoren (bei z.B. oft zu schneller Steigerung von Leistungsumfängen, mit der daraus resultierenden Überlastung von Muskulatur, Knochen, Bindegewebe , etc.)

Ebenso kann falsches/altes Schuhwerk, der Untergrund und die Anzahl der Wochenkilometer eine Rolle spielen. So erhöhen Trainingseinheiten auf hartem Untergrund (z.B.: Straße) und Umfänge ab 32 km pro Woche bzw. sportliche Aktivität über 8h pro Woche das Risiko eines Ermüdungsbruches.

Bei dieser ausführlichen Aufführung von nur einzelnen, aber zum Teil gravierenden Nebenwirkungen, die das Streben nach dem perfekten athletischen, leistungsfähigen Körper der derzeitigen HochleistungssportlerInnen mit sich bringt, muss man sich als Mediziner*in nicht lange die Frage stellen, ob es noch gesund ist.

Es muss natürlich auch erwähnt werden, dass Profisportler*innen eben „Profis“ sind. Es ist ihr Beruf Sport zu machen. Ihr Körper ist ihr Kapital, den sie optimieren müssen, um erfolgreich zu sein. Eine Top-Anwält*in verbringt oft auch Tage und Nächte in ihrer Kanzlei ohne zu Schlafen und richtig zu essen. Auch das ist nicht gesund. Doch das sind wohl die Opfer, die wir bereit sind, für unseren Beruf oder unsere Berufung, aber auch für unser persönliches Weiterkommen, Glück und Erfolg, zu bringen.

Solange der Körper funktioniert und die Leistungen stimmen, scheint einem vieles oft leicht von der Hand zu gehen. Genauso scheint es in diesen Situationen oft leichter zu sein, die Augen vor offensichtlich schädigendem Verhalten zu verschließen. Doch was passiert, wenn die Leistungen stagnieren, wenn die Rekorde nicht mehr purzeln und das System ins Wanken gerät?

Oftmals bekommen SportlerInnen in solchen Situationen leider nicht mehr die gleiche medizinische und psychologische Unterstützung, wie zu Hochzeiten. Sie bleiben oft auf sich alleine gestellt. Dann bleibt ihnen nichts anderes, als zu versuchen, ihr System und ihren Körper wieder zu entdecken und auf ihn zu hören. So muss man sich am Ende, wie immer, selbst die Frage stellen, ob es wirklich so erstrebenswert ist dem Idealbild der LäuferIn zu heutigen Zeiten zu entsprechen. 

Niemand soll die aufgeführten Auswirkungen als Verbot sehen, Laufen zu gehen, Spaß zu haben, ein Hobby auszuführen. Es soll nur ein Gedankenanstoß sein für Situationen, in denen man sich eventuell unsicher fühlt und nicht weiß, ob man selber „gut genug“ aussieht und/oder leistungsfähig genug für den Laufsport ist bzw. wenn man sich durch öffentliche Meinungen dazu genötigt fühlt, dem Idealbild entsprechen zu müssen.

Teil 1 - Aktuelles Frauenbild im Laufsport und die Folgen für Sportlerinnen

 
 
Steffi_Platt_FRF_Porträt.jpg

Steffi

Publisherin